Thay khớp háng cho người gãy xương đùi
Đăng ngày 16/09/2025 lúc: 10:56249 lượt xem
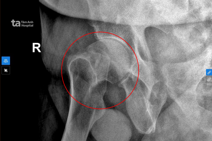
Ông Paul, 69 tuổi, gãy xương đùi, được bác sĩ thay khớp háng trong chưa đầy 24 giờ nên sớm đi lại bình thường. Ông Paul, quốc tịch New Zealand, ngã, đến Bệnh viện Đa...